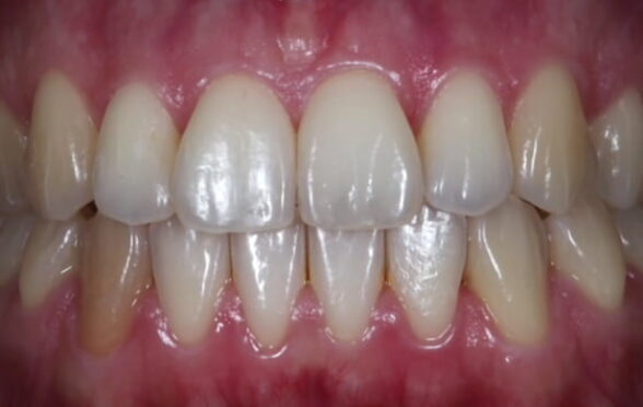
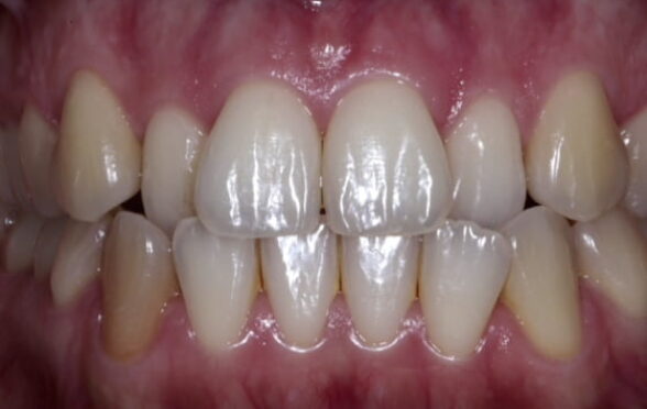
If you’d like a straighter smile without traditional braces, ClearCorrect® offers a discreet and comfortable solution. It’s an effective alternative to metal braces, designed to fit around your lifestyle and daily routine. Unlike other braces and aligners, ClearCorrect® is easy to remove and clean. They also do not require you to visit the dentist for any broken wires. Commonly, ClearCorrect® is popular with young adults and teens who want to fix their smile with a solution that is nearly invisible.
Crowded teeth is a condition where you do not have enough room for your teeth to fit normally. This can cause plaque or tartar and other harmful bacteria to build up as it is harder for you to brush and floss well.
Gaps between teeth is when there is extra space between two or more of your teeth. This can cause pockets between your teeth and gums and can cause food to get stuck making them tender and sore. This might also lead to gum disease.
An Open bite is when your upper and lower teeth don't touch when you close your mouth. An open bite can make it hard for you to chew or difficult to bite even the most common of food like apples.
An underbite is when you close your mouth and your lower front teeth are in front of your upper teeth. In many cases, this is actually a problem with your lower jaw being too far forward. An underbite can make it hard to chew properly and speak clearly, and it might cause your teeth to wear down more quickly.
An overbite is when your upper front teeth overlap with your lower front teeth. Most people have at least a little overbite. When your overbite is too large, your doctor might tell you you have a deep bite. This can cause problems, from your teeth wearing down to pain in your jaw.
A crossbite is when you close your mouth and yet some of your upper teeth are sitting inside your lower teeth rather than on the outside. A crossbite can make your teeth wear down or chip. It can also make your gums start to recede or make little notches above your gum line. This kind of damage can lead to painful gum problems or even bone loss.
Many people worry about the cost of ClearCorrect® braces, and so we have devised a number of payment plans to help you afford the right treatment with ClearCorrect®. ClearCorrect® braces from £2.50 per day with our finance options.
Learn MoreWe can create a 3D image of your teeth in just minutes using our Medit i900 scanner, a leading digital scanner.
Teeth may become crowded, crooked, or develop gaps due to:
ClearCorrect® uses a series of custom-made, clear aligners that gently guide your teeth into the desired position. The aligners are removable, so you can eat, drink, and brush normally while still progressing toward your ideal smile.
We start by taking a digital scan of your teeth, which allows us to create bespoke aligners that fit your mouth perfectly. You wear each set of aligners for about 1-2 weeks before moving to the next set in the series. Most treatments last several months, depending on the complexity of your case.
One of the benefits of ClearCorrect® is that you can see and track your progress. We provide guidance on wear and monitor your results during regular check-ups. You’re actively involved in achieving the smile you want, while always having professional support available.
ClearCorrect® is comfortable and non-invasive, making it ideal for patients who feel nervous about braces. Our experienced team will explain every step, answer your questions, and help you feel confident throughout the treatment.
A straighter, healthier smile that improves both function and appearance. Because the system is clear and removable, it fits seamlessly into your lifestyle while delivering professional results.
Get in touch today to book your appointment or ask any questions.
Stay connected with us for the latest updates and smiles - follow Bollington Dental Practice on our social media platforms!
Clear aligners are now available at Bollington Dental Practice ✨
We’re excited to introduce ClearCorrect®, a discreet and comfortable way to straighten your smile.
Book your free consultation with us and start your smile journey today.
0% finance options available.
📞 01625 574609
✉️ reception@bollingtondental.co.uk
Clear aligners are now available at Bollington Dental Practice ✨
We’re excited to introduce ClearCorrect®, a discreet and comfortable way to straighten your smile.
Book your free consultation with us and start your smile journey today.
0% finance options available.
📞 01625 574609
✉️ reception@bollingtondental.co.uk
What a lovely review from one of our patients!!
🎄🎄🎄
Are you looking for a dentist? Maybe it’s been a while or you’re looking for a smile transformation in 2026?
Give our friendly reception team a call or an email and we can help you!
📧 reception@bollingtondental.co.uk
📞 01625 574 609
🛜 www.bollingtondental.co.uk
What a lovely review from one of our patients!!
🎄🎄🎄
Are you looking for a dentist? Maybe it’s been a while or you’re looking for a smile transformation in 2026?
Give our friendly reception team a call or an email and we can help you!
📧 reception@bollingtondental.co.uk
📞 01625 574 609
🛜 www.bollingtondental.co.uk
Happy Friday from BDP! 🤶
A brilliant transformation for one of our lovely patients treating two teeth only ✨
To achieve this result we have replaced one fractured crown, and added composite to the other central incisor to match the width and close the gap!
Give our lovely reception team a call or email if you want to improve your smile too!
reception@bollingtondental.co.uk
01625 574 609
Happy Friday from BDP! 🤶
A brilliant transformation for one of our lovely patients treating two teeth only ✨
To achieve this result we have replaced one fractured crown, and added composite to the other central incisor to match the width and close the gap!
Give our lovely reception team a call or email if you want to improve your smile too!
reception@bollingtondental.co.uk
01625 574 609
Our new website is now live! 💚
Visit us at www.bollingtondental.co.uk to view our services, read a little about our team and enquire online with our reception team!
Our new website is now live! 💚
Visit us at www.bollingtondental.co.uk to view our services, read a little about our team and enquire online with our reception team!
It’s TIIIIIME!!! - Mariah Carey 🤶
Take advantage of our discounted tooth whitening to have a sparkling white Christmas ✨
Contact our lovely reception team to get booked in in time for the big day!!
🎄🎄🎄
01625 574 609
reception@bollingtondental.co.uk
#dentist #toothwhitening #christmasoffer #blackfriday #whitechristmas
It’s TIIIIIME!!! - Mariah Carey 🤶
Take advantage of our discounted tooth whitening to have a sparkling white Christmas ✨
Contact our lovely reception team to get booked in in time for the big day!!
🎄🎄🎄
01625 574 609
reception@bollingtondental.co.uk
#dentist #toothwhitening #christmasoffer #blackfriday #whitechristmas
We’re delighted to share some exciting news with our patients and community.
After 15 wonderful years under the leadership of Dr Heather Belfield, Bollington Dental Practice is entering a new chapter. Earlier this year, Dr Ellie Burrows joined us as our new principal dentist, and we are confident that the practice is in excellent hands. Some of you may have even met Ellie already!
Originally from Cheadle, Ellie graduated with honours from Liverpool University Dental School in 2020 and was awarded the Paediatric Dentistry Prize. She has since worked across the Cheshire area, caring for both NHS and private patients, and recently completed a postgraduate diploma in Restorative & Aesthetic Dentistry to further refine her skills.
“I feel incredibly privileged to be leading such a well-loved and respected practice,” says Ellie. “I’m excited to continue the exceptional care that patients have come to expect from Dr Belfield and Dr King, and to build on their legacy with fresh ideas and continued investment in our team and technology.”
We’re also very pleased to share that Dr Heather Belfield remains a valued member of our team, ensuring continuity of care and familiar faces for our patients. Even our founder, Dr David King, has dropped by to say hello a few times, a lovely reminder of the deep roots this practice has in the Bollington community.
Looking ahead, Ellie is committed to enhancing your dental experience through investing in the latest technology and increasing our community involvement. Recent investments include a state-of-the-art intra-oral scanner to improve diagnostic precision and treatment comfort, and in-surgery TVs to help patients better understand their dental health. We’re also proud to support our community through new sponsorships of Bollington United Football Club youth teams and Bollington Cricket Club.
Thank you for your ongoing trust and support. We’re here for you, and we look forward to welcoming you at your next visit.
We’re delighted to share some exciting news with our patients and community.
After 15 wonderful years under the leadership of Dr Heather Belfield, Bollington Dental Practice is entering a new chapter. Earlier this year, Dr Ellie Burrows joined us as our new principal dentist, and we are confident that the practice is in excellent hands. Some of you may have even met Ellie already!
Originally from Cheadle, Ellie graduated with honours from Liverpool University Dental School in 2020 and was awarded the Paediatric Dentistry Prize. She has since worked across the Cheshire area, caring for both NHS and private patients, and recently completed a postgraduate diploma in Restorative & Aesthetic Dentistry to further refine her skills.
“I feel incredibly privileged to be leading such a well-loved and respected practice,” says Ellie. “I’m excited to continue the exceptional care that patients have come to expect from Dr Belfield and Dr King, and to build on their legacy with fresh ideas and continued investment in our team and technology.”
We’re also very pleased to share that Dr Heather Belfield remains a valued member of our team, ensuring continuity of care and familiar faces for our patients. Even our founder, Dr David King, has dropped by to say hello a few times, a lovely reminder of the deep roots this practice has in the Bollington community.
Looking ahead, Ellie is committed to enhancing your dental experience through investing in the latest technology and increasing our community involvement. Recent investments include a state-of-the-art intra-oral scanner to improve diagnostic precision and treatment comfort, and in-surgery TVs to help patients better understand their dental health. We’re also proud to support our community through new sponsorships of Bollington United Football Club youth teams and Bollington Cricket Club.
Thank you for your ongoing trust and support. We’re here for you, and we look forward to welcoming you at your next visit.